Home
Über uns
Labor
Leistungsspektrum
Service
Sonstiges
Kontakt
Impressum
Home > Leistungsspektrum
Ästhetische Frontzahnrestaurationen
Präzisions-Implantatprothetik
Vollkeramische Versorgungen
Geschiebe- und Teleskopprothetik
Allergieverträgliche Werkstoffe
Galvanotechnik
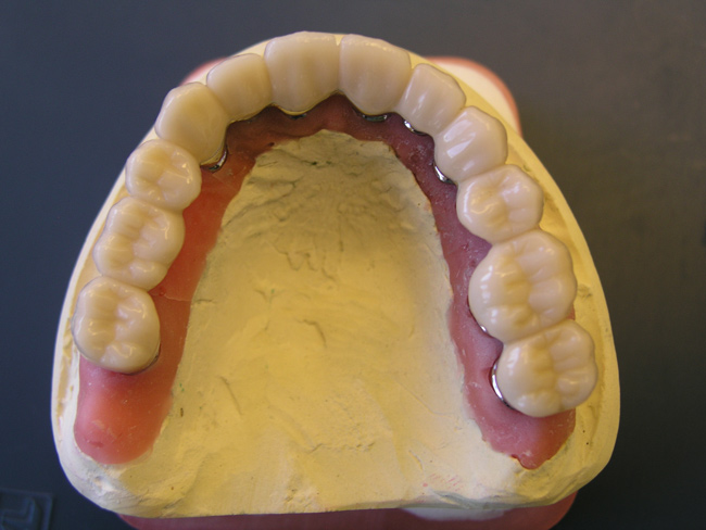
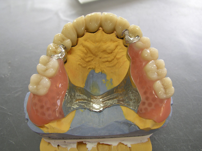
Geschiebe- und Teleskopprothetik
Home
|
Über uns
|
Labor
|
Leistungsspektrum
|
Patienteninfo
|
Service
|
Sonstiges
|
Kontakt
|
Impressum
|
Datenschutz
© All Rights Reserved. 2013.
Designed and developed by :
Parseh Media
fraud click